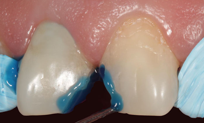
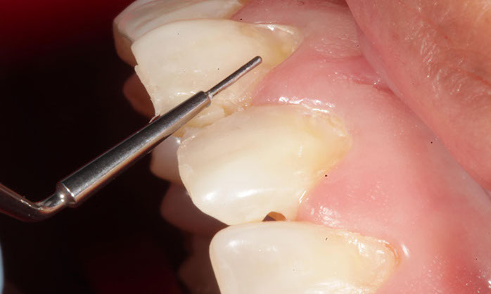
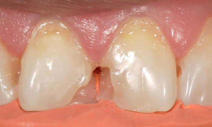
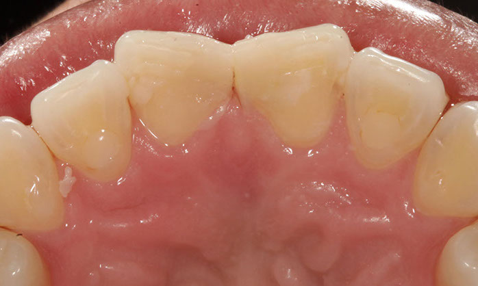
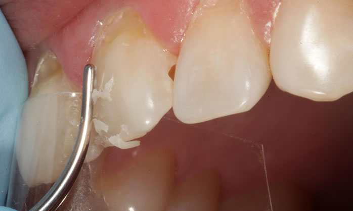
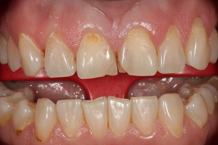
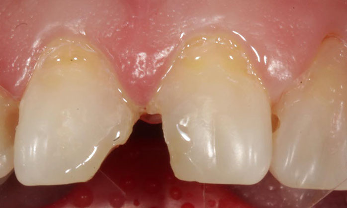
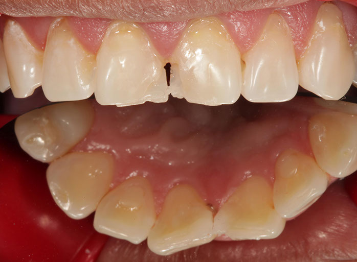
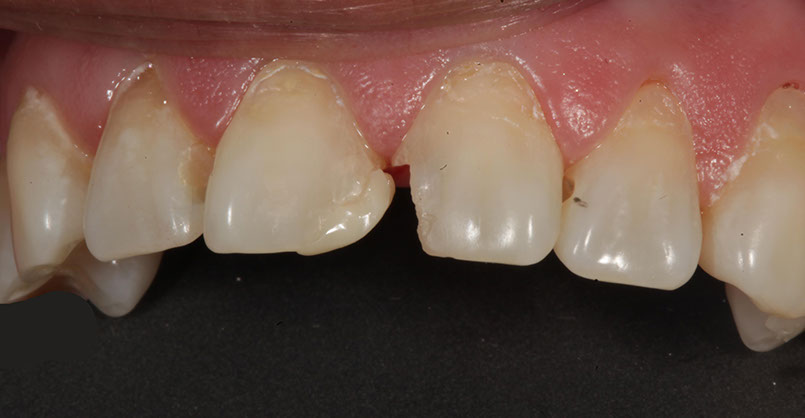
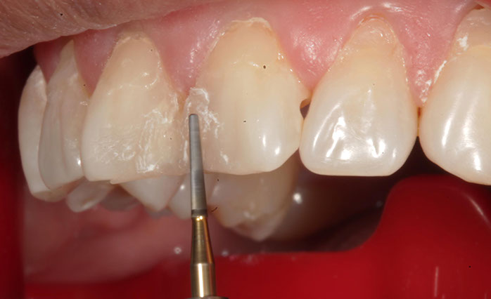
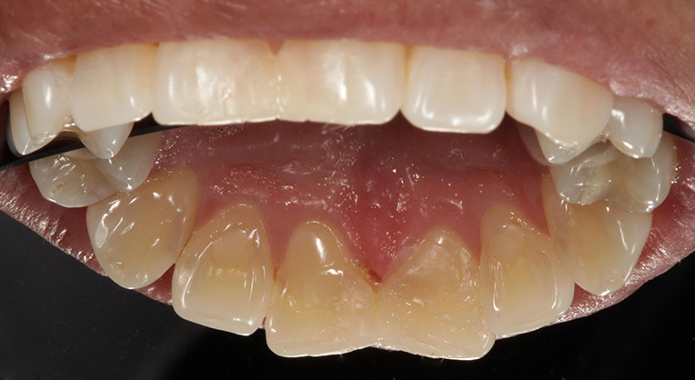
Fotografía de caso clínico